Hur man remineraliserar tänder naturligt – 12 effektiva sätt

Innehållsförteckning

    Emalj är det starkaste ämnet i människokroppen, men det är inte osårbart. Våra tänder genomgår en normal process av demineralisering och remineralisering varje dag. Syror från mat och dryck samt bakterier tar bort mineraler som kalcium och fosfat från emaljen, vilket orsakar demineralisering. Men dina tänder kan försvara sig. Genom remineraliseringsprocessen återställs de förlorade mineralerna, vilket stärker dina tänder och förebygger hål.

    Men när avmineralisering sker för mycket börjar processen med tandfrätning, vilket leder till känslighet, missfärgning och karies. Låt oss titta på de mest effektiva sätten att remineralisera tänderna.

    Vad är tandreminalisering?

    Tandremineralisering är den naturliga processen där nödvändiga mineraler — främst kalcium, fosfat och fluor — återdeponeras i tandemaljen efter att ha förlorats under demineralisering. [1] Det händer dagligen och beror på din kost, munhygien och allmänna hälsa.

    När remineralisering fungerar som den ska, återförs mineraler från saliv, matvaror och tandkräm till emaljen och hjälper till att återuppbygga dess styrka. Dessa mineraler bildar hydroxyapatit, det huvudsakliga ämnet som gör dina tänder starka.

    När remineralisering sker snabbare än demineralisering förblir din emalj stark och motståndskraftig. Men när syror och socker överväldigar dina tänder utan tillräckligt med mineraler för att reparera skadorna, börjar emaljen försvagas, vilket så småningom leder till hål i tänderna.

    Vad orsakar att tänder förlorar mineraler?

    Emaljen eroderas oftast genom syraattacker. När du äter sockerrika eller stärkelserika livsmedel frigörs syra av bakterierna i din mun. Den bryter ner mineraler från din emalj, vilket orsakar avmineralisering. Med tiden försvagar detta dina tänder och gör dem känsliga samt utsatta för karies och hål.

    Andra orsaker till mineralförlust i tänderna inkluderar:

    • Frekvent småätande eller konsumtion av sockrade drycker
    • Torr mun eller minskad salivproduktion
    • Sura drycker och livsmedel (t.ex. citrusfrukter, vin och läsk)
    • Dålig munhygien.
    • Sura uppstötningar eller frekvent kräkningar
    • Att borsta för hårt eller med en mycket slipande tandkräm

    När emaljen väl har eroderat kan den inte återbildas. Men du kan stoppa skadan från att fortsätta genom att hjälpa till med remineraliseringsprocessen.

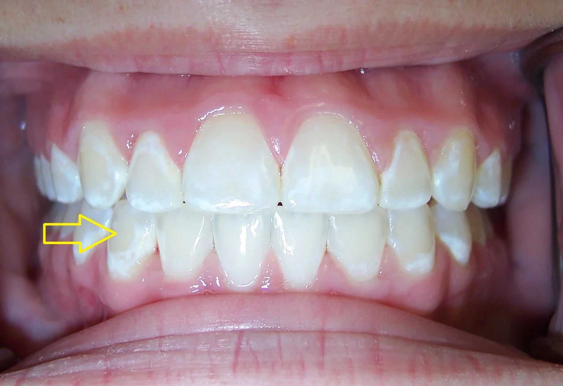
    Tecken på att dina tänder behöver remineralisering

    Hur vet du när dina tänder ropar efter hjälp? Här är några vanliga symtom på att ditt emalj förlorar mineraler och behöver stöd:

    • Ökad känslighet i tänderna – särskilt mot varma, kalla eller söta livsmedel.
    • Vita fläckar är de tidiga tecknen på avmineralisering av tandemaljen.
    • Förändring i färg eller gulning — det slitna emaljlagret blottar lagret under, dentinet.
    • Oregelbundna eller grova tandytor — den skadade emaljen kan skapa ytförändringar.
    • Små sprickor eller flisor — svaga tänder är mest benägna att skadas ytterligare.

    Hur man remineraliserar tänder naturligt?

    Tandreminalisering är kroppens naturliga process för att reparera tidiga skador på tandemaljen innan det leder till karies. Här är några beprövade, praktiska och naturliga sätt att hjälpa dina tänder att remineralisera.

    1. Borsta tänderna två gånger om dagen (men försiktigt!)

    God munhygien börjar med rätt tandborstning. Borstning tar bort bakterier och matrester, som är näring för syraframkallande bakterier. [2] huvudorsak till karies är en bakterie som kallas Streptococcus mutans, som livnär sig på socker och stärkelse som finns kvar i munnen.

    När du borstar tänderna, använd en mjuk tandborste som till exempel Oclean x pro eliteDess mjuka DuPont-borstar och den högvarviga Maglev-motorn är tillräckligt starka för att ta bort plack utan att slita på emaljen. Att borsta för hårt eller med en hård tandborste nöter faktiskt ner emaljen istället för att skydda den. Du bör också vänta minst 30 minuter efter att ha ätit sura livsmedel innan du borstar — detta ger emaljen tid att härda och förhindrar skador.

    2. Använd alltid fluortandkräm

    Fluor är viktigt för remineralisering. Det stärker emaljen genom att dra till sig mineraler som kalcium och fosfat mot tandytan och återuppbygga där tanden börjar försvagas. [3]

    Inte alla tandkrämer innehåller fluor, så se till att den du köper innehåller fluor. American Dental Association (ADA) rekommenderar faktiskt endast fluortandkräm med deras sigill. Att borsta två gånger om dagen med fluortandkräm kan göra tänderna mer motståndskraftiga mot syra och stoppa tidig karies. [4]

    3. Drick mycket vatten — särskilt efter måltider

    Vatten håller din mun fuktig och sköljer också bort matpartiklar och syror som orsakar avmineralisering. Det stimulerar även salivutsöndringen, vilket hjälper till att neutralisera syror och tillföra viktiga mineraler till tänderna.

    Om du precis har ätit något surt eller sött och inte kan borsta tänderna direkt, skölj munnen med vanligt vatten. Det är en väldigt enkel vana som kan göra stor skillnad i längden. Till skillnad från söta drycker innehåller vatten varken socker eller syra och gör bara gott för tänderna.

    4. Minska på sockret – särskilt vid frekvent småätande

    Socker ger näring åt de skadliga bakterierna i din mun. När dessa bakterier bryter ner socker bildas syra. Syran fräter på ditt emalj.

    Vad är ännu skadligare än en rik dessert då och då? Att småäta sockerrika livsmedel under hela dagen. Ju mer socker du äter, desto mer syra utsätts dina tänder för.

    Vad kan du göra?

    • Minska på sötsaker och sockrade drycker.
    • Efter att ha ätit sura livsmedel, försök att skölja munnen med vatten
    • Använd sugrör för sura drycker för att minimera direktkontakt med tänderna.

    5. Undvik sura drycker (eller använd sugrör)

    Sura drycker som läsk, sportdrycker, energidrycker, citrusjuicer och svart kaffe fräter på tandemaljen över tid. De flesta drycker innehåller både socker och syra – en dubbel påfrestning för dina tänder. [5]

    Om du ändå äter dem, försök att:

    • Drick med sugrör för att minimera kontakten med dina tänder.
    • Drick dem snabbt och inte långsamt.
    • Skölj munnen med vatten efteråt.

    6. Öka salivproduktionen

    Saliv remineraliserar tänderna genom att neutralisera syra och tillföra kalcium och fosfat till dina tänder. För att öka salivproduktionen:

    • Drick vatten för att hålla dig hydrerad.
    • Svälj sockerfritt tuggummi med xylitol — det stimulerar salivproduktionen och minskar bakterier.
    • Förhindra orsakerna till muntorrhet, inklusive rökning eller vissa mediciner.

    7. Tugga sockerfritt tuggummi med xylitol

    Sockerfritt tuggummi gör inte bara din andedräkt fräschare – det stimulerar också salivproduktionen. Saliv innehåller kalcium och fosfat, som är nödvändiga för att remineralisera dina tänder. Välj tuggummi med xylitol – en naturligt förekommande sockerersättning som hämmar bakterietillväxt och återför mineraler till tandemaljen.

    Proffstips: Tugga tuggummi i 20 minuter efter måltider för att maximera salivproduktionen och skydda mot syraattacker.

    8. Ät mer kalcium- och vitaminrika livsmedel

    Dina tänder behöver kalcium, fosfat och andra mineraler för sin styrka. Du kan också stärka emaljen inifrån och ut genom att äta livsmedel som innehåller dessa mineraler.

    Bra matkällor är:

    • Ost, mjölk och yoghurt
    • Bladgrönsaker som grönkål och spenat
    • Mandel, sesamfrön och tofu
    • Sardiner och lax med ben

    9. Håll din munflora frisk med probiotika

    Alla bakterier är inte dåliga. Vissa är bra och främjar en hälsosam mun samt bekämpar kariesframkallande bakterier. Probiotika kan återställa gynnsamma bakterier, minska inflammation och stödja din naturliga läkningsprocess för emaljen.

    Lactobacillus rhamnosus, Bifidobacterium och Streptococcus salivarius är några av de stammar som studerats inom forskning om munhälsa. Probiotika finns i livsmedel som yoghurt – eller som kosttillskott.

    10. Åtgärda muntorrhet (saliv är en naturlig läkare)

    Saliv är också en av de mest kraftfulla försvararna mot karies. Saliv innehåller mineraler som kalcium och fosfat som hjälper till med remineralisering och även hjälper till att skölja bort matpartiklar och syra.

    Om din mun är torr (orsakat av medicin, uttorkning eller medicinska problem), kontakta din tandläkare. De kan föreslå:

    • Drick mycket vatten.
    • Sockerfritt tuggummi eller halstabletter
    • Speciella salivstimulerande munsköljningar

    11. Begränsa stärkelserika livsmedel

    Stärkelsehaltiga livsmedel som pasta, bröd och potatis bryts ner till enkla sockerarter som matar bakterierna och påskyndar avmineraliseringen. När du äter stärkelse, kombinera det med protein eller fiber för att minska dess påverkan på tänderna. Till exempel, välj fullkornsbröd istället för vitt bröd – det bryts ner långsammare och frisätter mindre syra.

    12. Besök din tandläkare regelbundet

    Även med goda munvanor kan det vara svårt att upptäcka tidiga skador på tandemaljen. Din tandläkare kommer att upptäcka tidig avmineralisering och behandla med fluor, tätningsmedel eller ge råd anpassade efter dina behov. [6]

    Hur lång tid tar det att remineralisera tänder?

    Tidigt remineraliseringsarbete kan vanligtvis påbörjas inom några veckor, men det tar oftast 2 till 4 månader av konsekvent vård innan resultaten blir synliga. Den exakta tiden det tar att remineralisera tänderna beror dock på flera faktorer. Dessa kan inkludera skadans omfattning på emaljen, dina munvanor och tändernas allmänna skick.

    Om du borstar tänderna två gånger om dagen med fluortandkräm, äter en tandvänlig kost och undviker socker och sura livsmedel, främjar du dagligen läkning för dina tänder. Men när erosionen har nått en nivå där faktiska hål redan har utvecklats, fungerar inte remineralisering längre — då behöver du uppsöka en tandläkare för behandling.

    Slutsatsen

    Du kan remineralisera dina tänder naturligt — men inte på en gång. Det är något som sker över tid med god munhygien, bra näring och goda vanor. Mindre mineralförlust kan återställas med fluortandkräm, sockerfritt tuggummi och kalciumrik mat, men omfattande skador måste behandlas av en tandläkare.

    Genom att borsta, använda tandtråd, dricka mycket vatten och minska intaget av socker och syra ger du dina tänder de bästa förutsättningarna för att återfå sin styrka. Så börja idag – varje liten insats bidrar till ett starkare och friskare leende.









    Referens

    1. Swedish Whitten, Cheryl. ”Vad du bör veta om remineralisering av tänder.” WebMD, 1 nov. 2021, www.webmd.com/oral-health/remineralizing-teeth.
    2. Cherney, Kristeen. ”10 sätt att remineralisera dina tänder och stoppa demineralisering.” Healthline, Healthline Media, 4 maj 2023, www.healthline.com/health/remineralizing-teeth#fluoride-toothpaste. Hämtad 12 mars 2025.
    3. Nikhil Mankar med flera. ”Fluoridets roll inom tandvård: En narrativ översikt.” Cureus, vol. 15, nr 12, 21 dec. 2023, https://doi.org/10.7759/cureus.50884.
    4. Hem - American Dental Association. Ada.org2019 www.ada.org/.
    5. Zahara, Abdul Manaf, et al. ”Samband mellan matvanor och förekomst av tanderosion hos malaysiska universitetsstudenter.” Malaysian Journal of Medical Sciences : MJMS, vol. 19, no. 2, 2024, s. 56, pmc.ncbi.nlm.nih.gov/articles/PMC3431744/.
    6. Simmer, James Patrick, et al. ”Hur fluor skyddar tandemalj från demineralisering.” Journal of International Society of Preventive & Community Dentistry, vol. 10, nr 2, 1 mars 2020, s. 134–141, pubmed.ncbi.nlm.nih.gov/32670900, https://doi.org/10.4103/jispcd.JISPCD_406_19.
    Föregående sida
    Hur du rengör en mundusch: Steg-för-steg-guide
    Föregående sida
    Sanningen om tandtråd: Kan man faktiskt använda tandtråd för mycket?

    Innehållsförteckning

      Relaterade artiklar

      Is Chewing Gum Good for Your Teeth?
      Is Chewing Gum Good for Your Teeth?

      Is Chewing Gum Good for Your Teeth?

      Remineralisera tänderna naturligt! 12 tips för att stärka emaljen, bekämpa karies och känslighet. Kost, fluor och goda vanor för ett friskt leende.

      Läs mer
      Is Seltzer Water Bad For Your Teeth?
      Is Seltzer Water Bad For Your Teeth?

      Is Seltzer Water Bad For Your Teeth?

      Remineralisera tänderna naturligt! 12 tips för att stärka emaljen, bekämpa karies och känslighet. Kost, fluor och goda vanor för ett friskt leende.

      Läs mer
      Multipurpose Oral Care Tools: Sonic Brushes with UV Sanitizers and Water Flossers
      Multipurpose Oral Care Tools: Sonic Brushes with UV Sanitizers and Water Flossers

      Multipurpose Oral Care Tools: Sonic Brushes with UV Sanitizers and Water Flossers

      Remineralisera tänderna naturligt! 12 tips för att stärka emaljen, bekämpa karies och känslighet. Kost, fluor och goda vanor för ett friskt leende.

      Läs mer
      How to Get Rid of White Scars on Teeth
      Hur man blir av med vita ärr på tänderna

      Hur man blir av med vita ärr på tänderna

      Remineralisera tänderna naturligt! 12 tips för att stärka emaljen, bekämpa karies och känslighet. Kost, fluor och goda vanor för ett friskt leende.

      Läs mer
      How Many Teeth Does an Adult Have?
      Hur många tänder har en vuxen?

      Hur många tänder har en vuxen?

      Remineralisera tänderna naturligt! 12 tips för att stärka emaljen, bekämpa karies och känslighet. Kost, fluor och goda vanor för ett friskt leende.

      Läs mer
      What Should I Get to Hide My Chipped Front Tooth?
      Vad ska jag skaffa för att dölja min flisade framtand?

      Vad ska jag skaffa för att dölja min flisade framtand?

      Remineralisera tänderna naturligt! 12 tips för att stärka emaljen, bekämpa karies och känslighet. Kost, fluor och goda vanor för ett friskt leende.

      Läs mer